14-летний Денис умер от пневмонии
14-летний Денис умер от пневмонии
Семья Матийко почти 20 лет назад переехала в Козиловку с Закарпатья. Анна и Михаил (сейчас им 56 и 57 лет соответственно) растили пятеро сыновей: Ярослава, Виталия, Михаила, Ивана и Дениса. Сейчас из пяти осталось только двое: 9 лет назад в аварии погиб Михаил, в прошлом году повесился Ярослав, а 8 января, как раз на годовщину по брату, «сгорел» от пневмонии Денис. Через неделю после его смерти умерла жена Ярослава.
- Денис был жизнерадостным и спокойным парнем. У него было много друзей, - говорит классный руководитель Дениса Светлана Чернуха. — Его семью нельзя назвать неблагополучной, но за последние 9 лет они пережили много горя. Видимо, из-за этого отец стал выпивать. Говорят, Денис заболел пневмонией еще 4 января. Якобы перед этим он ходил на рыбалку и простудился. На сочельник Денис колядовал и жаловался друзьям, что ему холодно.
Мать сбивала Денису температуру, лечила от боли в горле. 8 января она сходила в сельскую амбулаторию за лекарствами. После 16 часов Анна Матийко пошла на работу (она работает истопником в магазине).
- В это время к Денису пришла его крестная Оксана Герчук, - продолжает Светлана Николаевна. - Она собиралась вызвать «скорую» и отвезти Дениса в больницу. Когда она вошла в дом, Денис встал с дивана, чтобы поздороваться. У него сразу же ртом и носом пошла кровь, начались судороги. Он умер у крестной на руках.
После смерти Дениса с острым бронхитом госпитализировали еще двух 8-клас-сников из Козиловки. На днях с двусторонней пневмонией забрали и 10-кпассника.
- Врачи сказали: если бы его своевременно не госпитализировали, все могло бы закончиться трагически, — говорит Светлана Чернуха. — Сейчас в селе болеют многие, я тоже на больничном.
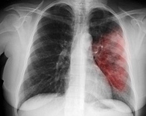
- Мальчик умер от вирусной геморрагической пневмонии, которая передается воздушно-капельным путем, - говорит педиатр Корюковской центральной районной больницы Любовь Товстоног.
- Однако говорить о вспышке или эпидемии в селе нельзя - это сезонный подъем заболеваемости. Если пневмонию своевременно диагностировать, то она успешно лечится. До случая с Денисом в Корюков-ском районе за последние 10 лет не было зафиксировано ни одной детской смерти от пневмонии.
Наталия Федосенко, "Гарт" №4 (2704) от 22 января 2014
Хочете отримувати головне в месенджер? Підписуйтеся на наш
Telegram.
Теги: Денис Матийко, Корюковка, пневмония, смерть, Наталия Федосенко, "Гарт"




