Мужчина прожил 15 лет с карандашом в голове
Карандаш застрял в голове мужчины вовремя несчастного случая в детстве.
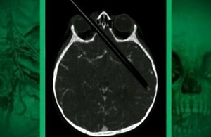
24-летний выходец из Афганистана, имя которого не распространяется, прожил 15 лет с 10-сантиментровим карандашом в голове.
Как сообщает The Huffington Post, после эмиграции в Германию, в последнее время он стал часто болеть. Кроме того, он постоянно жаловался на боли в голове, а также стал хуже видеть одним глазом.
Он обратился за помощью в одну из клиник города Ахен. После томографии, немецкие врачи увидели, что в голове мужчины застрял 10-сантиметровый карандаш. Он прошел сквозь глазницу и уперся в его глотку.
После удаления карандаша, боли в голове утихли, а зрение стало восстанавливаться. Карандаш пережал глазной нерв. Сам пациент не знает, откуда в его голове посторонний предмет. Однако он высказал подозрение, что карандаш мог попасть в его голову еще в детстве, когда он случайно упал.
По материалам Delfi.ua
Хочете отримувати головне в месенджер? Підписуйтеся на наш
Telegram.
Теги: карандаш, голова, боли в голове




