«А треба уміти зробити й без тисяч!»
У Ніжинській центральній районній лікарні складний перелом ноги вилікували без операції. Біда змусила .

1 «60 діб без чотирьох див лежала отак прикована»
— Так, Валентино, я тобі казав, що ти будеш у мене ходить? — звертається травматолог Ніжинської центральної районної лікарні 72-річний Дмитро Паляниця до 55-річної пацієнтки Валентини Бойко. Вона лежить на ліжку на скелетному витягненні. Упала у дворі на слизькому.
— Я їй казав: потрібна операція, — продовжує Дмитро Васильович. — На операцію не йде, нема коштів. Не йдеш — будемо лікувати старими методиками. Це зараз при лікуванні — тисячі, тисячі!.. А треба уміти зробити й без тисяч. Застосуємо скелетне витягнення. Як робили колись.
— Скільки тут кілограмів? — дивлюся на гирі скелетного витягання.
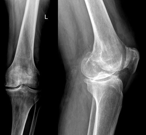
— Спочатку висіло сім кілограмів, тепер — п’ять. Оцей обломок щоб стояв на місці, — показує на рентгенівському знімку, — тут такий манжет. І вантаж до нього. Таким чином ми обломки склали.
Підходить завідувач хірургічного відділення Ніжинської ЦРЛ 61-річний ігор Садовський.
— Ходитимеш. Ти мені віриш? — Садовський до пацієнтки.
— Бачиш, яке тут було зміщення страшне? — Паляниця показує знімок Садовському. — Зростається. Вже почала утворюватися кісткова мозоля. Якби не старий метод, була б калікою.
Валентина плаче.
— Це сльози радості, — витирає очі. — Мене зрозуміє той, хто втратив надію, а потім отримав її. 60 діб без чотирьох днів лежала отак прикована. Випрямлена, без жодного руху. Спочатку сказали — від 10 до 20 тисяч гривень треба на операцію. Якщо вилежу на скелетному витягненні, зростеться безплатно. У мене запори пішли, остеохондроз на спину напав. Трудно дуже стало. Уже не можу лежати. Але вже більше й не треба, іепер буде гіпс та милиці. А потім і гіпс знімуть.
2 «Я не міг сказати, що не хочеш операції, ти іди»
— Остеосинтез гомілки зробили без операції, — розказує Дмитро Паляниця. — Був закритий осколковий перелом нижньої третини правого стегна зі зміщенням по ширині та довжині. Рекомендувалося оперативне лікування. Металоостеосинтез. Металева конструкція, шурупи. Пацієнтка категорично відмовилася — за браком коштів.

Я не міг сказати, що не хочеш операції, то іди. Це у Києві професура не панькається. А ми як сімейна медицина. Повинні були щось зробити. І мені довелося згадувати давно забуте.
Наші корифеї у травматології — це Інститут патології хребта і суглобів імені професора Сітенка у Харкові. Раніше називався «медико-механічний інститут». Тоді лікували тільки скелетним витягненням. Розтягували і в довжину, і в боки, і компресували.
Згодом придумали апарат Ілізарова. Це апарат для фіксації кістки: спиці, зафіксовані на кільцях. Колись був час, що переломи в’язали дротами, як телеграфні стовпи на лінії зв’язують між собою. Треба було зблизити кістки докупи, щоб вони зросталися. І утримувати їх. Або гіпсом робили фіксацію. Але справа у тому, що гіпсова пов’язка накладається на шкіру. Людина може бути повненька. В жировий прошарок, потім м’язи — кістка усередині може гуляти. Тому ілізаров і придумав апарат — він діє прямо на кістки.
Уже після апарата Ілізарова прийшли до нас пластини, шурупи. Придумали, щоб йти прямо на операцію і з’єднувати кістки пластиною або стрижнем. І щоб воно не хиталося. Головне у будь-якій методиці — створити умови для зростання кістки.
3 «Кістки і їх уламки стають одна за другою»
— Я людям інколи пояснюю: якщо ви посадили перець, розсаду і через день будете її смикати, то виросте перець? Не виросте. Так і тут, — порівнює травматолог. — Кістка не повинна хитатися.
Спочатку кістки потрібно було скласти. Вони ж стирчали. Хто куди — той за тин, той за ворота.
— Розрізали хоч трохи?
— Ні! Апарат Ілізарова, наприклад, це теж операція, людину треба брати в операційну. Всіх одягти, всім халати. Це кошти. Скелетне витягнення — зовсім без операції. Склав подумки. Провів тільки одну спицю і на шині (фіксаторі) зробили витягнення. Кістки і їх уламки стають одна за другою. Так, як вірьовка: лежить — скручена, розтягнеш її— рівненька.
Спиця проходить перпендикулярно, через кістку, через горбистість великогомілкової кістки, щоб було за що тягнути.
Спочатку підвісив сім кілограмів. Обломки розтягли. Вправляючою манжеткою придавили. Щоб не було розходження уламків у різні боки. Як тиск міряємо, отака манжетка. Із полотна зшита. І до неї вантаж, щоб придавлювала кістку, яка стирчить. Придавили, і вона стала проти іншої. Вантаж зменшив до 5 кілограмів, і кістки з’єдналися.
Знімемо витягнення, накладемо малу кокситну (тазостегнову) пов’язку ще хоча б на місяць-півтора-два. Найпростіша кокситна пов’язка коштуватиме гривень 600. Якщо зробити її з сучасного матеріалу, буде три тисячі.
- лікбез
— Скелетне витягнення — найпростіший метод лікування переломів, з нього починали, — пояснює Дмитро Паляниця. — Якщо ви дивилися фільм «Знахар», колись для шини тільки лубок клали, з дерева кору здирали. Пирогов, видатний хірург, у Кримську війну почав ногу при переломах заливати гіпсом. А тоді придумав, щоб брати бинт, пересипати гіпсом.
Скільки часу минуло, а гіпсові пов’язки робляться досі. Просто ми колись самі розсипали цей гіпс, ним дихав гіпсотехнік. А потім з Івано-Франківська почали давати стандартні гіпси. Зараз придумали кольорові гіпси, але суть лишається та ж. Роблять гіпсові пов’язки з матеріалу, який у воді не розмокає, можна купатися, і вони тримають ногу.
4 «Півтора місяця був як сліпий»
— Коли лікували пацієнтку скелетним витягненням, пересувний рентген-апарат був несправний, — ділиться Дмитро Паляниця. — Згоріла якась котушка. Відремонтували, у Чернігові «Медтехніка» зробила деталь саморобну.
Ми з ними увесь час сварилися. Кажу, давайте, бо я ж не можу працювати. Півтора місяця був як сліпий. Рентген стаціонарний роблять, але ж я не можу хвору повезти. Лаялася, казала, все зніміть і везіть мене на рентген. Я їй пояснюю: якщо зняти, м’язи потягнуть, і обломки стануть знову як були, позмішуються.
Нарешті побачив знімок. І дуже задоволений, що ногу вдалося скласти, вісь відновлена. Буде ходити.
- майже анекдот
— У травматології головне — вісь. Вісь збережена, і функцій відновлена. Колись був випадок. Наш завгосп привіз знайому із району. На операцію не пішли, бо жінка старенька. Ми її пролікували. Забрали додому. А тоді він приходить і питає: «Дмитре Васильовичу, а чого вона не ходить?» А я добре, що догадався, питаю: «Пьошо, а як вона раніше ходила?» Він і каже: «Вона не ходила, вона лежала».
Чим сучасні операції кращі? Тим, що хворий може поїхати додому, може умиватися, може піти на весілля посидіти. Він мобільний. Він не прив’язаний. Яким би методом не робили, кінцева ціль наша — відновлена функція кінцівки. А яким способом, не так важливо. Можна з будинку на будинок перелізти по вірьовці, можна перескочити, головне, щоб утік від бандита.
— Позичити апарат у міській лікарні не могли?
— Це велика бандура. Центнера півтора важить. Апарат нерозумно возити. Рентгенівську трубку можна розтрясти.
— На вашому апараті навіть рік випуску стерся, я придивлялася.
— З 80-х років, «Арман». Колись, як я тільки організовував травматологічну службу в районі, головним лікарем був Феер Іван Іванович, я насів -а нього, щоб купив.
— Район не придбає новий?
— А для чого? і цей хороший. Ми все хочемо гроші тратить. Треба уміти обходитися тим. що є. В така приказка: щасливий не той. хто багато має, а той хто задоволений з того, що є. Може, цей апарат усіх нас переживе. Він є, а травматології у районі, може, скоро не буде.
— Колись у костоправи брали тих, хто умів всліпу скласти розбитий глиняний горщикь — говорить Дмитро Паляниця. — Його трощили у мішку. Треба було засунути у мішок руку і, не бачачи, скласти. Так, як я цю хвору лікував, практично всліпу. Головне, що в результаті вона ходитиме! Не завжди старе — погане, а нове не завжди добре. Особливо, якщо воно коштує тисячі й тисячі, десятки тисяч.
Тамара Кравченко, тижневик «Вісник Ч» №47 (1663) від 22 березня 2018
Хочете отримувати головне в месенджер? Підписуйтеся на наш
Telegram.




